Skip to content
Home
Daily Updates
Store
Free PDF Downloads
Free PDF Downloads
Log in / Signup
Main Menu
Home
Daily Updates
Store
Log in / Signup
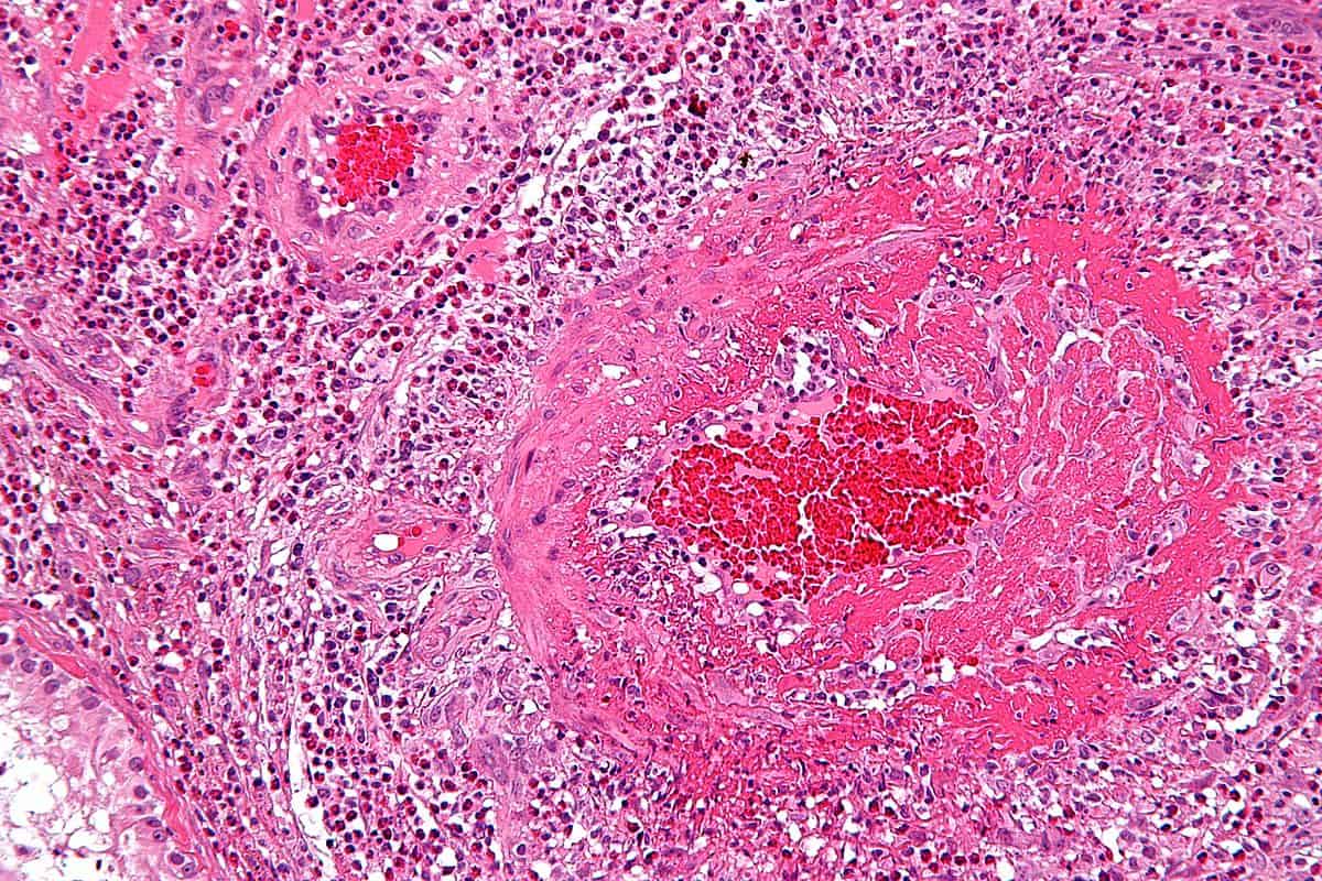
Fibrinoid vasculitis
Leave a Comment
/ By
Dr Abhishek Gupta
/
October 15, 2018
←
Previous Media
Leave a Reply
Cancel reply
Welcome! Please Log In
Submit
Skip for now and continue.
👨⚕️
Chat Support
❌
Send